Let's connect

Want to discuss your project or have any questions?

Biomarker technology platform

Biomarker discovery services for precision medicine

Our biomarker discovery services include both hypothesis-free global and mode-of-action hypothesis-driven approaches, tailored to your research needs. We employ a complementary strategy by generating data from both preclinical models and human samples, ensuring comprehensive and reliable insights for your projects.

whole slide scanning of IHC staining

Genomics

Unlock unparalleled insights with our next-generation sequencing (NGS) at single-cell resolution. Decode cellular heterogeneity to uncover rare and unique biomarkers, and discover gene expression signatures that drive disease progression and therapy response. By integrating data across transcriptomics, epigenomics, and genomics, we provide multidimensional insights that pinpoint cellular pathways and states with precision. From identifying novel therapeutic targets to tracking treatment outcomes, single-cell sequencing is revolutionising biomarker discovery, ensuring your research is at the forefront of scientific innovation.

Our next-generation sequencing (NGS) platform services

Proteomics

Proteomics, the study of proteins and their functions, structures and interactions, is rapidly advancing and crucial for understanding disease mechanisms, drug discovery and personalised medicine. Our team has extensive expertise in proteomic analysis and data integration, helping you unravel the complexity of biological systems. Through cutting-edge techniques and innovative approaches, we are dedicated to solving your scientific challenges and advancing your research.

Proteomics

Cytokine profiling

Cytokine profiling is essential for understanding immune responses and disease pathways, helping to analyse complex cytokine networks and reveal disease-specific patterns. This technique identifies biomarkers for cancers, autoimmune diseases and infections while tracking immune modulation in response to therapies with high precision. Using high-throughput multiplex assays, we offer comprehensive and cost-effective profiling. From pinpointing inflammation markers to exploring therapeutic targets, cytokine profiling plays a crucial role in biomarker discovery. Our services include profiling for oncology, immunology/ inflammation (cytokines/chemokines), and other indications using platforms such as Mesoscale), homogeneous time-resolved fluorescence (HTRF) and enzyme-linked immunosorbent assay (ELISA).

Cytokine profiling

Flow cytometry

Flow cytometry is essential for next-generation biomarker discovery, supporting your research in cancer, immunology and more. It offers high-throughput, multiparametric analysis to identify unique cellular markers and single-cell resolution to uncover rare populations and subtle changes. Our advanced technology, including spectral flow cytometry, measures functional biomarkers like cytokine production and signalling proteins, providing deeper profiling and enhanced discovery. Partner with us for comprehensive insights and advanced solutions tailored to your research needs.

Detail of MACS Quant Flow Cytometer in action

Immunohistochemistry

Immunohistochemistry (IHC) is an invaluable tool for identifying and validating new drug targets, characterising disease pathology, and assessing drug efficacy in both preclinical models and clinical trials. It also supports patient selection based on biomarker profiles, facilitating more targeted and personalised treatments.

Our IHC services include:
  • IHC assay development, optimisation, and fit-for-purpose validation (specificity, reproducibility, and stability of assay and analytes)
  • Novel antibody validation using samples (cell lines and primary tissue, healthy and diseased) from our biobank
  • Single and multicolor chromogenic and fluorescent stainings (manual and automatic)
  • Digital imaging analysis and options for semi-automated quantification or HScore by board certified in-house pathologists
  • Analysis of preclinical and clinical samples.
IHC

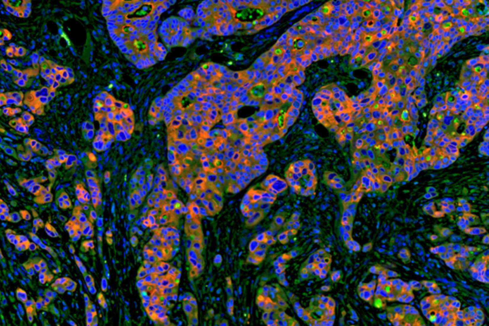
Spatial profiling by multicolor immunofluorescence (mIF)

We provide spatial profiling using multicolour immunofluorescence to identify various immune cells infiltrating a tumour, including T cells, B cells, natural killer cells and myeloid-derived suppressor cells. Our expertise includes the use of multiple established markers for both immunofluorescence (IF) and immunohistochemistry (IHC).

mIF

RNA in situ hybridisation (RNAscope)

We offer RNA in situ hybridisation using RNAscope technology, enabling the in situ detection and quantification of single RNA molecules, and providing precise spatial gene expression results for your research needs. This technology also allows us to cross-validate antibodies for immunohistochemistry (IHC) or serve as an alternative assay when suitable antibodies for IHC are unavailable. To support your research fully, we provide single and dual fluorescent and chromogenic stainings, as well as dual IHC-RNAscope duplex staining, for the detailed analysis of preclinical and clinical samples.

RNAscope

Proximity ligation assays (PLA)

Proximity ligation assays are invaluable for studying endogenous protein-protein interactions in situ, providing critical insights into cellular functions. We offer these assays, along with tailored assay development for your specific targets, ensuring precise and insightful results for your research.

EGFR-Her2 complex formation in EGF-treated cancer cells

qRT-PCR

Quantitative real-time polymerase chain reaction (qRT-PCR) is a highly sensitive and specific technique for measuring gene expression levels in biological samples. Its rapid and cost-effective nature makes it ideal for high-throughput screening of biomarker responses to potential drug candidates. To support your research, we offer qPCR profiling of preclinical and clinical samples in a 384-well format, ensuring efficient and accurate results.

qRT-PCR

Protein expression

Understanding cellular processes and identifying potential therapeutic targets requires protein expression profiling. We offer profiling of protein expression in preclinical and clinical samples using Simple Western technology, including the Jess and Peggy Sue systems. We are a certified service provider for the ProteinSimple Jess system. This advanced technology automates the protein separation and immunodetection processes of traditional Western blotting, eliminating many error-prone steps and ensuring your research achieves accurate and reliable results.

food

Contact us

Nuvisan is committed to protecting your privacy, and we'll only use your personal information to administer your account and to provide the products and services you requested from us. If you consent to us contacting you for this purpose, please tick below to say how you would like us to contact you:
You can unsubscribe from these communications at any time. For more information on how to unsubscribe, our privacy practices, and how we are committed to protecting and respecting your privacy, please review our Privacy Policy.

Talk to us

talk icon
+49 731 9840 0 

Our locations

location icon

Neu-Ulm (headquarters)

Wegenerstrasse 13

89231 Neu-Ulm

Germany

Berlin

Muellerstrasse 178

13353 Berlin

Germany

Sophia Antipolis

2400 route des Colles

06410 Biot

France

Grafing

Am Feld 32

85567 Grafing

Germany

Waltrop

Im Wirrigen 25

45731 Waltrop

Germany

For concerns about pharmaceuticals or adverse drug-related events, contact us at: complaints@nuvisan.com